我國(guó)1980年时的DM患病率还不足1.0%,2010年我國(guó)DM小(xiǎo)组的研究结果显示,20岁以上人群中,DM发病率為(wèi)9.7%。据國(guó)际糖尿病联合会2013的统计,中國(guó)糖尿病患病人数已居全球之首,成為(wèi)“世界糖尿病之都”。糖尿病在我國(guó)18岁以上人群发病率為(wèi)11.6%,患者总数1.139亿人,预计到2030年中國(guó)糖尿病患者将达到1.54亿人。其中,糖尿病引起的眼底病变是糖尿病患者多(duō)年备受困扰的致盲性眼疾,能(néng)夺取视力,让人从五彩缤纷的世界里坠入黑暗的深渊。
我國(guó)缺乏糖尿病本身及相关并发症的教育,患者和家属对糖尿病及其并发症的预防和治疗认识不足。眼科(kē)医生和内科(kē)医生的沟通不够,大量的糖尿病患者没有(yǒu)到眼科(kē)检查,存在着一定的漏诊或误诊率。不同地區(qū)和医院之间缺乏统一的诊断筛查标准和相互间的交流。
1、白内障:相对容易治疗;
2、糖尿病黄斑水肿:造成患者视物(wù)不清;
3、糖尿病视网膜病变(简称糖网):严重时发生视网膜出血、玻璃體(tǐ)积血、视网膜脱离,会造成患者永久性失明;
其中,糖网与糖尿病黄斑水肿是糖尿病患者失明的首要原因,也是糖尿病患者最担心的眼部并发症。
视网膜的小(xiǎo)血管長(cháng)期处于高糖环境中,变得脆弱,就像有(yǒu)裂缝的水管,容易渗漏、出血,从而引起视网膜的病变,可(kě)致视物(wù)模糊、黑影等,甚至失明。

正常视网膜血管

糖网的视网膜血管渗漏
糖网的眼底病变进展快速,随病变进展,视力损害加重,直至失明。

正常眼底造影

早期糖网-血管瘤样改变

中期糖网血管闭塞及新(xīn)生血管形成

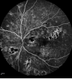
晚期糖网
糖尿病视网膜病变分(fēn)期

Ⅰ期:微血管瘤

Ⅱ期:出血及微血管瘤

Ⅲ期:II期+每象限出血点≥20个和(或)≥2个象限有(yǒu)静脉串珠样变,一个象限视网膜内血管异常

V期:新(xīn)生血管和增殖膜形成

IV期:新(xīn)生血管為(wèi)區(qū)分(fēn)

VI期:V期+合并有(yǒu)视网膜脱离,可(kě)合并玻璃體(tǐ)积血
90%以上的糖尿病视网膜病变引起的严重视力损害可(kě)以避免,关键在于早发现、早治疗、定期复查。视力异常,及时就诊。

糖网病变轻微时,视力损伤常不明显,可(kě)稍有(yǒu)视物(wù)模糊

合并黄斑水肿:视物(wù)模糊、扭曲

视网膜出血,眼前有(yǒu)黑影飘动

晚期:黑影增多(duō)、增厚,最终失明
及时有(yǒu)效的眼部治疗可(kě)以延缓糖网的进展,改善黄斑水肿,
1、视网膜血管病变严重、出现血管增生、黄斑水肿时,常需要联合激光、抗新(xīn)生血管等治疗;
2、出现视网膜脱离等晚期眼底病变,需要手术治疗。
下一篇:别把眼睛干涩不当回事